“잠깐 좋아졌다가 다시 아픈 통증, 아직 원인을 제대로 찾지 못했을 가능성이 큽니다.”
“목 뒤에 뭔가 만져지는데, 이게 뭔가요?”
하루 8시간 이상 모니터 앞에 앉아 일하시는 분들 중에, 목과 등이 이어지는 부위가 불룩하게 올라와 있는 경우가 있어요. 상록수역 인근 IT 기업에 다니시는 30대, 한대앞역 근처 사무실에서 10년 넘게 책상 업무를 하신 40대분들이 이런 증상으로 내원하시는 경우가 적지 않습니다.
살이 찐 건가 싶어 운동을 꾸준히 해봐도, 그 부위만큼은 변화가 없어요. 손으로 눌러보면 딱딱한 뼈 위로 두툼하게 살이 얹혀 있는 느낌이 납니다.
이것이 바로 ‘버섯 증후군’이에요.
거북목이 만들어낸 구조적 변화, 버섯 증후군

거북목 자세가 오랜 시간 지속되면, 목과 등이 만나는 경추-흉추 연결 부위(C7-T1)의 뼈가 뒤쪽으로 밀려 나오게 됩니다. 그 위로 지방 조직이 쌓이면서 버섯 갓 모양의 돌출부가 형성되는 거예요.
정상적인 목뼈는 앞쪽으로 완만하게 휘어진 C자 곡선을 유지합니다. 이 곡선이 약 5~6kg에 달하는 머리 무게를 여러 방향으로 분산시켜줘요. 그런데 모니터를 보며 목을 앞으로 내미는 자세가 반복되면, 이 곡선이 서서히 펴지기 시작합니다. 일자목에서 거북목으로, 거북목에서 구조적 변형으로 단계적으로 진행되는 거예요.
의학적으로는 경흉추 이행부 후만 변형(cervicothoracic kyphosis)에 해당하며, 이 단계까지 이르렀다는 건 목뼈의 정렬이 단순히 ‘조금 틀어진’ 수준이 아니라는 뜻입니다.
외형보다 무서운 것, 신경 압박이 일어나고 있습니다

안산신경외과를 찾아오시는 분들 중 상당수가 목 뒤 돌출을 외형적인 문제로만 여기세요. “운동하면 들어가지 않을까?” 하고 가볍게 넘기시는 거죠.
하지만 진짜 위협은 뼈 안쪽에서 진행되고 있어요.
경추 안에는 척수가 지나고, 각 마디에서 척추 신경이 뻗어나와 팔과 손까지 이어집니다. 목뼈의 정렬이 무너지면 이 신경이 통과하는 척추관과 추간공이 좁아질 수 있어요.
증상은 단계별로 나타납니다.
초기 — 근육 긴장 단계: 뒷목과 어깨의 뻣뻣함, 긴장성 두통이 주로 나타나요. 대부분 피로 탓으로 여기고 넘어가는 시기입니다.
중기 — 신경 자극 단계: 팔이나 손가락에 저림이 간헐적으로 찾아옵니다. 특정 자세에서 팔이 시큰하거나 힘이 빠지는 느낌이 들 수 있어요. 목디스크나 협착증이 동반될 수 있는 시기입니다.
후기 — 척수 압박 단계(경추척수증): 젓가락질이 서툴러지고, 단추 채우기가 어려워지며, 보행 시 다리가 뻣뻣한 느낌이 생깁니다. 심화되면 사지의 운동 기능과 감각이 함께 저하될 수 있어요.
모두가 이 단계로 진행되는 건 아닙니다. 하지만 구조적 변형이 수년 이상 방치되면, 디스크 퇴행과 인대 두꺼워짐이 가속되면서 위험도는 높아져요.
목뼈 정렬이 틀어지면 뇌 혈류에도 영향을 줍니다

경추 변형의 영향은 신경에서 그치지 않아요.
목 양옆으로 추골동맥(vertebral artery)이라는 혈관이 목뼈의 횡돌기 구멍을 통해 위로 올라가며 뇌 후방, 소뇌, 뇌간에 혈액을 공급합니다. 목뼈 정렬이 흐트러지면 이 혈관의 경로에 기계적 영향을 미칠 수 있어요.
혈류 공급이 원활하지 않으면 만성 두통, 어지러움, 집중력 저하, 뒷머리가 무거운 느낌 같은 증상이 나타날 수 있습니다.
“요즘 자꾸 머리가 무겁고 맑지 않아요”, “어지럼증이 반복돼요” — 이런 증상이 거북목과 함께 나타난다면 안산신경외과에서 목의 구조적 상태를 한 번 확인해 보시는 것이 좋아요.
치료의 방향, 혹을 없애는 게 목표가 아닙니다

버섯 증후군의 치료는 ‘돌출부를 제거하는 것’이 아니에요. 무너진 경추 곡선을 회복시키고, 틀어진 체형의 균형을 되찾는 것이 목표입니다.
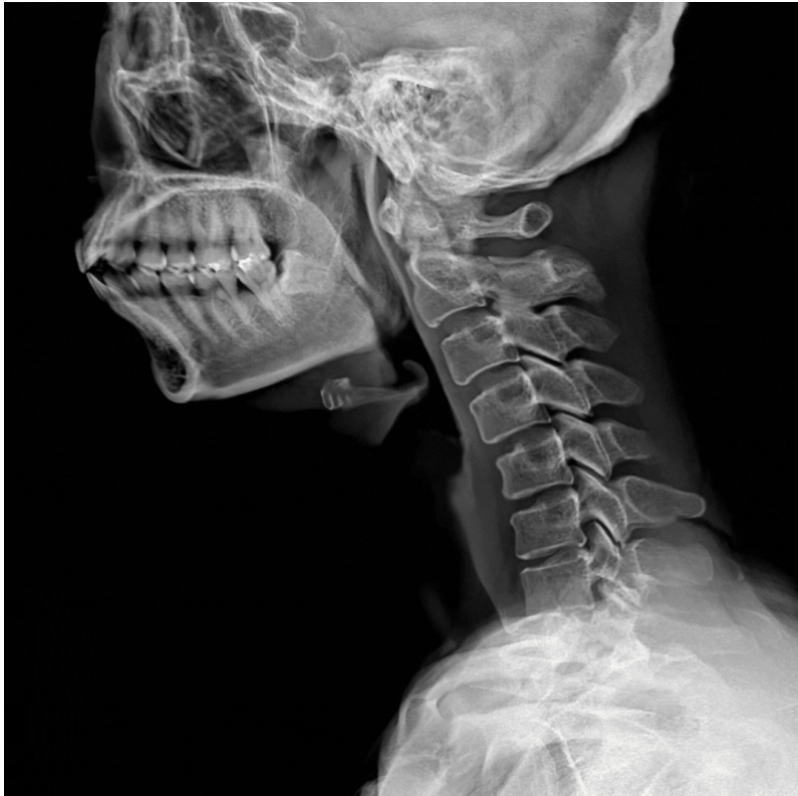
먼저 정밀 진단이 이루어져요.
X-ray로 경추 곡선과 정렬 상태를 파악하고, MRI로 디스크와 신경 상태를, CT로 뼈의 구조적 변화를 살펴봅니다. 팔 저림이나 손 기능 이상이 있다면 신경전도검사(EMG/NCV)로 손상 정도까지 객관적으로 평가할 수 있어요.
| 단계 | 상태 | 치료 방법 |
|---|---|---|
| 1단계 | 근육 긴장·통증 (곡선 변형 초기) | 약물치료 + 물리치료 + 도수치료 |
| 2단계 | 신경 자극 동반 (디스크 or 협착 초기) | 1단계 + 고주파수핵성형술 or 신경성형술 |
| 3단계 | 신경 압박 진행 (보존 치료 효과 부족) | 인공디스크치환술, 척추유합술 등 수술적 치료 |
치료와 함께 일상 자세를 바꾸지 않으면 개선 효과가 오래가기 어려워요. 하루 8시간 이상 모니터 앞에 앉아 계시는 분이라면, 자세 교정이 회복의 절반을 차지합니다.
출근길에 고개를 숙여 스마트폰을 보고, 사무실에서 종일 모니터를 향해 앉아 있고, 퇴근 후 소파에 누워 다시 화면을 들여다보는 일상이 반복되면 경추는 서서히 무너져 갑니다.
목 뒤 혹이 보이기 시작했다면, 지금이 확인할 때입니다

거북목이 단순한 자세 습관의 문제였던 시기가 있었을 거예요. 그런데 목 뒤에 뭔가 만져지기 시작했다면, 그건 자세를 넘어서 경추의 구조 자체가 변하고 있다는 신호입니다.
안산신경외과에서는 외형보다 그 안에서 일어나고 있는 변화에 먼저 주목합니다. 혹이 생기기 전이라면 더욱 좋고, 이미 나타났다면 지금 당장 내부 상태를 명확하게 살펴보시길 권합니다.




